Клинический случай объёмного восстановления зуба.

Клинический случай объёмного восстановления зуба. Пациент обратился с жалобами на наличие старой дефектной пломбы на зубе нижней челюсти справа.
При осмотре – зуб 47 со старой потемневшей пломбой на жевательной поверхности (фотография 1). На щёчной и язычной поверхностях циркулярно темно-коричневые пятна, которые являются ничем иным, как кариесом (фотография 2).
После удаления старой пломбы была выявлена кариозная полость и на передней контактной стенке. Таким образом зуб был поражён кариесом почти со всех поверхностей.
При оценке компьютерной томограммы зуба видим, что расстояние от кариозной полости до нерва достаточно большое, нерв в зубе ранее не был удалён, воспалительных изменений на корнях нет (фотография 3).
Тщательно убрать все кариозные ткани можно только с использованием изоляции коффердамом. В противном случае мешает язык, щека, слюна. Дополнительно проводился контроль при помощи фотопротокола (фотография 4).
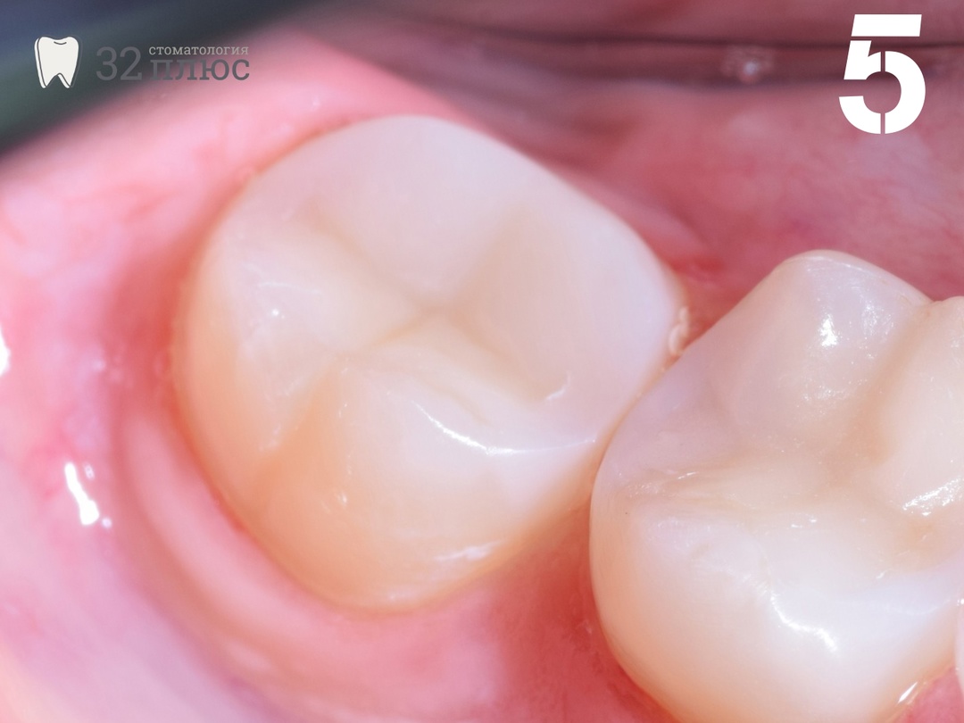
Зуб был восстановлен материалом Harmonize (Kerr) с сохранением нерва. Теперь пациентка может полноценно жевать этим зубом (фотография 5).
Стоматолог-терапевт Блажчук Александра Николаевна.
Стоимость лечения 9750 рублей.

Стоматологическая клиника "32 плюс".
Протезирование, имплантация.
Работаем с душой.
г. Вологда, ул. Ленинградская, д.134 (второй этаж).

Записаться на прием
Продолжая использовать наш сайт, вы даете согласие на обработку файлов cookie, пользовательских данных (сведения о местоположении; тип и версия ОС; тип и версия браузера; тип устройства и разрешение его экрана; источник, откуда пришел на сайт пользователь; с какого сайта или по какой рекламе; язык ОС и браузера; какие страницы открывает и на какие кнопки нажимает пользователь; ip-адрес) в целях функционирования сайта, проведения ретаргетинга и проведения статистических исследований и обзоров. Если вы не хотите, чтобы ваши данные обрабатывались, покиньте сайт СОГЛАСЕН